Board-Certified Oral and Maxillofacial Prosthodontist Hartford
A One-Stop Center for Excellent Dental Care
- Award Winning Office
- Nobel Biocare All-on-4® Center of Excellence
- Board Certified Specialists
- Cutting-Edge Technology
- Complete In-House Treatment
Advanced Cosmetic and Implant Dentistry (ACAID)
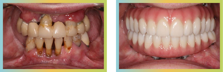
Our award-winning dental practice in Glastonbury, CT, offers comprehensive cosmetic and implant dentistry services. We are a non-corporate, family-owned practice, which means we do not adhere to a one-size-fits-all model of dentistry. Instead, each patient receives care that's tailored uniquely to them.
Our dentists only use premium-quality dental implants, dental materials, and dental laboratory technology. We stand proudly behind our work and never use inferior materials to cut costs.
We are also certified to offer Sedation Dentistry (IV sedation) to help patients who feel anxious visiting the dentist.
Yes, you can afford the very best
As a board-certified oral and maxillofacial prosthodontist, Dr. Bidra brings world-class expertise and exclusive access to Nobel Biocare’s finest implant materials—at preferred pricing reserved for top specialists. Best of all, he passes those savings directly on to you.
4.9 Stars | 271 Reviews
“Welcoming”
“Professional”
“Fantastic”
Hartford patients love Dr. Avinash Bidra and Dr. Xiao Chun Li. Our team has earned more than 250 Five Star (5-star) Google reviews!

“I’ve had the pleasure of getting to know Dr. Bidra and his staff for many years. We are always happy when we come here."


Top Care Made Affordable
Financing Is Available With Dr. Bidra
We believe the best dental care in Connecticut should be within reach, regardless of a patient’s budget. We can help you claim reimbursement for all treatments your insurance plan covers, and for out-of-pocket expenses, we gladly accept financing through CareCredit, Proceed Finance, and Cherry, the most trusted third-party lenders for medical care.



“We take the time to do dentistry the right way. Ultimately we are in the
business of human well-being.”
Our patients receive the highest possible quality of care.
Patients in Hartford, CT, can experience unmatched quality and value by choosing board-certified doctors Avinash Bidra and Xiao Chun Li.
We are affiliated with the following prestigious organizations:

















