All-on-4/ Full Mouth Dental Implants / Teeth in a Day: Case 11-ED-All on 6 upper bridge
Description
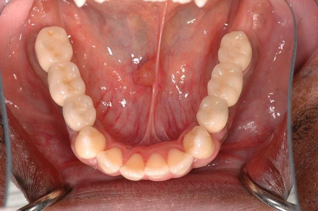
This young man had an early onset of periodontal disease (gum disease) causing him to have all loose upper teeth and loose lower back teeth, all of which needed to be removed. After that, 6 implants were placed in the upper jaw for the All-on-6 bridge and 4 implants were placed in the lower jaw for bridges for back side of the mouth. The lower front natural teeth were cleaned off disease and maintained.
Procedures : extractions, implants, All on 6, Teeth in a day, bite correction.
Testimonial : "I have complete trust in Dr. Bidra who gave me back my smile, my confidence and my ability to chew and speak in the quickest possible manner. I would not open my mouth for treatment for anyone else other than Dr. Bidra"






