Dental Bonding: TG
Description
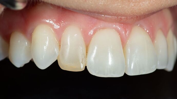
This patient had a small bonding created by her previous dentist to enhance the length of her tooth. However, she was never satisfied with the fact that the filling was discolored did not seamlessly blend in with her natural tooth. The issue was addressed by utilizing custom layered composite, to match the color to her tooth.
Procedures : composite veneer (bonding)











