Dental Bonding: TM
Description
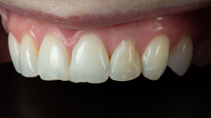
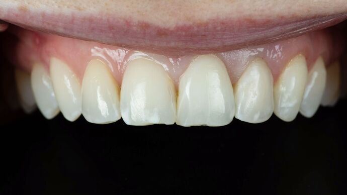
This patient had undergone a prior filling procedure, but she was never satisfied with the shape and color of the filling on her left lateral incisor. She felt it didn't harmonize with her natural teeth and made the tooth appear overly large. Using layered composite resin bonding, an esthetic outcome was achieved in 1 appointment.
Procedures : composite restoration (bonding).
Testimonial : “I am very pleased with the result and the simplicity and how quickly it was done!”









